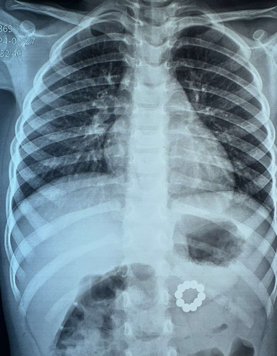
В Івано-Франківській обласній дитячій лікарні прооперували 3-річну дівчинку. З її шлунково-кишкового тракту витягнули 21 неодимовий магніт.
Про це на своїй Facebook-сторінці повідомив головний лікар медзакладу Тарас Мельник.
З його слів, у лікарню звернулася мати з дитиною. Її донька скаржилася на кашель та біль в животі. При обстеженні у шлунково-кишковому тракті дитини медики виявили неодимові магніти.
Видалення ендоскопічно не було можливе. Тому провели оперативне втручання, у результаті якого видалили 10 магнітів з товщі задньої стінки шлунку і ще 11 — з початкового відділу здухвинної кишки, — написав Тарас Мельник.
Медики з’ясували, що магніти потрапили в організм дівчинки понад місяць тому. Лікування пройшло без ускладнень. Дитину вже виписали додому.

